Neurologista descreve essa lesão como uma dissecção da artéria carótida

O carnaval é uma época de celebração e alegria, mas algumas práticas comuns durante essa festividade podem ter consequências inesperadas para a saúde. Um exemplo disso é o famoso "chupão", que, embora pareça inofensivo, pode levar a complicações sérias, como um acidente vascular cerebral (AVC).
Receba as notícias do AlagoasWeb no seu WhatsApp 
Mulher sofre AVC após levar chupão no pescoço
Relatos médicos recentes destacam casos em que a pressão exercida por um chupão no pescoço resultou em lesões significativas.
Na Nova Zelândia, um caso chamou a atenção quando uma mulher de 44 anos apresentou sintomas de fraqueza e perda de movimento no braço direito. Após exames, os médicos identificaram sinais de AVC, surpreendentemente causados por um chupão no pescoço. Este não é um caso isolado; na Dinamarca, uma mulher de 35 anos também sofreu um AVC devido a um chupão, ocorrido apenas 12 horas antes do incidente.
Mulher sofre AVC após levar chupão no pescoço

(imagem: Reprodução / Perfil Brasil)
Como um chupão pode causar um AVC?
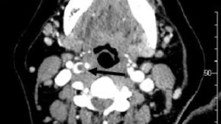
A questão que surge é: como um gesto aparentemente inofensivo pode evoluir para um problema tão grave? Especialistas explicam que a pressão aplicada durante um chupão pode lesionar a artéria carótida, responsável por transportar sangue do coração para o cérebro. O neurologista Felipe Aydar Sandoval, do Hospital Sírio-Libanês, descreve essa lesão como uma dissecção da artéria carótida, que é uma ruptura na parede da artéria, podendo resultar em sangramento e redução do fluxo sanguíneo cerebral, informou ao G1.
Essa condição é uma causa comum de AVC em pessoas jovens e pode ser desencadeada por diversos fatores além dos chupões, como pancadas em acidentes, atividades físicas intensas e até mesmo montanhas-russas. A dissecção da artéria carótida muitas vezes passa despercebida, manifestando-se apenas como uma dor no pescoço, mas pode ter consequências mais sérias.
Embora a maioria dos casos de dissecção da artéria carótida não resulte em complicações graves, é crucial estar atento aos sinais de alerta. Sintomas como fraqueza, dormência e perda de movimentos após um chupão ou lesão no pescoço devem ser levados a sério. Nesses casos, procurar atendimento médico imediato é essencial para evitar complicações maiores.
Como prevenir complicações?
Apesar de não haver contraindicações específicas para a prática de chupões, é importante adotar uma abordagem cuidadosa. O reconhecimento precoce dos sintomas e a busca por orientação médica podem prevenir consequências mais sérias. Além disso, é aconselhável evitar aplicar pressão excessiva no pescoço durante atividades cotidianas ou recreativas.
Em resumo, enquanto o carnaval e outras festividades são momentos de diversão, é fundamental estar ciente dos riscos associados a certas práticas. O conhecimento e a prevenção são aliados poderosos na proteção da saúde e no desfrute seguro das celebrações.
Acompanhe mais notícias em Alagoasweb.com
